눈 밑에 불룩하게 튀어나온 지방을 단순히 제거하지 않고, 꺼진 부위로 '재배치'하여 매끄러운 눈 밑 라인을 만들어주는 수술입니다.
서울에이치피부과에서는 피부를 절개하지 않고 결막 안쪽으로 접근하여 흉터 없이 자연스럽고 빠른 회복이 가능합니다.
주변 조직 손상을 최소화하여 눈매의 변화가 거의 없고, 자연스러운 눈 밑 굴곡을 살릴 수 있습니다.
서울H피부과 자가지방이식형 눈밑지방재배치
자가지방이식형 눈밑지방재배치는 눈꺼풀 안쪽의 결막을 절개하여 진행하기 때문에
겉으로 드러나는 흉터가 없고,
자연스러운 눈매와 애교살을 최대한 보존할 수 있습니다.
회복이 빠르며 수술한 티가 나는 기간이 매우 짧고,
하안검(속눈썹 아래 절개) 수술과 달리
눈꺼풀 뒤집어짐(안검외반)이나 아래로 당겨지는(안검퇴축) 부작용 위험이 거의 없습니다.
늘어진 피부와 눈둘레근은 해결이 어려울 수 있으나,
아그네스, 모자이크, 버츄RF, 아이써마지 등 보조 치료로 충분히 개선이 가능합니다.
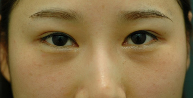
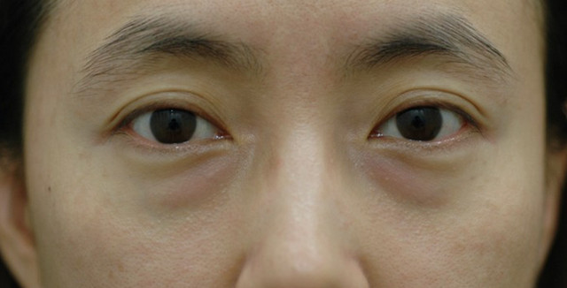
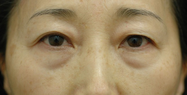
양쪽 눈밑지방의
양이 다른 경우
눈밑지방의 돌출과
그 위치가 다른 경우
돌출이 애매한
눈밑지방
외측의 눈밑지방이
돌출된 경우
눈밑지방 돌출로 인해
애교살이 두꺼워진 경우
눈밑지방 돌출과 함께
애교살이 사라진 경우
눈밑지방제거/재배치 수술 후
재발한 경우
눈밑지방의 돌출 눈둘레근이 비후 눈 주변 부종 | 눈물고랑 단독 함몰 광대고랑 함께 함몰 인디언주름 함몰 앞광대 함몰 | 만성적 피부염 색소성 질환 선천성 | 근육투과 혈관투과 | 얇은 피부 잔주름 두꺼운 피부 굵은주름 |
눈 주변 구조에 대한 정확한 이해와 풍부한 경험을 갖춘
눈밑지방재배치 수술 전문가만이 다양한 케이스에 대한 최적의 해답을 제시할 수 있습니다.
구분 | 자가지방이식형 눈밑지방재배치 | 경결막 눈밑지방제거술 | 일반적인 지방 이동 고정형 수술 |
|---|---|---|---|
수술 방식 | 결막(눈꺼풀 안쪽) 절개 후, 돌출된 지방 일부를 제거하고 꺼진 부위에 자가지방 이식 | 결막 절개 후 지방만 제거 | 결막 또는 피부 절개 후 지방을 아래로 이동해 고정 |
흉터 | 외부 흉터 없음 | 외부 흉터 없음 | 경우에 따라 외부 흉터 가능 |
회복 기간 | 빠름, 부기·멍 적음 | 빠름 | 상대적으로 길 수 있음, 부기·멍 많음 |
눈밑 꺼짐/눈물고랑 | 지방을 이식해 꺼짐과 함몰 개선, 추가 시술 가능 | 지방만 제거해 꺼짐·함몰 심해질 수 있음 | 이동 거리가 짧아 완전한 개선 어려움, 앞광대 개선 한계 |
애교살/자연스러움 | 애교살 및 자연스러운 눈매 유지 | 애교살 유지 | 앞광대가 어색해질 수 있음, 부자연스러운 인상 가능성 |
부작용 위험 | 안검외반, 안검퇴축 등 부작용 거의 없음 | 부작용 적음 | 눈 움직임 제한, 앞광대 불균일 등 부작용 가능성 |
추가 시술 | 필요시 필러, 레이저 등 병행 가능 | 필요시 지방이식 등 추가 | 필요시 필러, 지방이식 등 추가 |
레이저를 이용하여 눈밑지방을 녹이는 '눈밑지방재배치' 어떠한 원리로 눈밑지방을 제거하는 것일까요?
효과가 있을까요? 효과가 있다면, 안전한 시술일까요?
레이저눈밑지방재배치 수술과 하안검 수술, 차이점과 장단점을 구분하여 나에게 필요한 치료방법을 선택하는 것이 만족스런 결과를 가져옵니다.
서울H피부과 자가지방이식형 눈밑지방재배치
오랜 연구와 풍부한 경험을 바탕으로
개인의 눈밑지방 모양, 골격 구조, 피부 타입을 세밀하게 진단합니다.
내측, 중앙, 외측의 지방을 최적의 모양으로 제거하고 재배치하여
자연스럽고 만족도 높은 결과를 제공합니다.
- 과하지 않은 눈밑지방의 양과 건강한 피부 탄력은 수술 결과에 플러스 요인
- 젊은 연령대라 회복력이 좋아 상처 회복이 빠르고 부기와 멍이 적은 편
- 앞으로 더욱 돌출될 눈밑지방 예방 효과
- 수술 빈도가 높은 30~40대
- 눈밑지방과 함께 다크서클 및 고랑 등의 여러 요인에 따른 분석과 치료가 필요
- 경우에 따라 눈밑지방재배치 수술과 함께 필러 등의 시술로 만족도를 높일 수 있음
- 하안검 수술과 눈밑지방재배치의 장·단점을 분석하여 선택
- 피부 늘어짐이 신경 쓰인다면 탄력 레이저로 치료 가능
- 드라마틱한 결과보다 자연스러움을 원한다면 눈밑지방재배치 수술이 적합
믿을 수 있는 시술 결과
SEOUL H REVIEW
직접 확인하실 수 있습니다.
We design and build digital products people enjoy using...
Hey! Recently we were working on a project for ..We design and build digital products people enjoy using...
We are a Creative Digital Agency based in Buenos Aires, Argentina. We take pride in designing and building...
A new project is an opportunity to create something unique.We are a Creative Digital Agency based in Buenos Aires, Argentina. We take pride in designing and building...
As an interdisciplinary agile team, our production process is flexible, collaborative, and adapts to each client’s needs
We look forward to working with you on your next projectAs an interdisciplinary agile team, our production process is flexible, collaborative, and adapts to each client’s needs
We are working on the UX/UI design for a large hotel owners and hospitality management company.
Style Tiles are always a good option to show work in progress!We are working on the UX/UI design for a large hotel owners and hospitality management company.
More shots with final designs coming soon.
You can check the attachment for a full view..More shots with final designs coming soon.
we streamline the process without having to make multiple mockups.
This is a proposal to add value to a crowdfunding listing pagewe streamline the process without having to make multiple mockups.
Style tiles serve as a flexible starting point that helps us easily communicate the essence of a visual brand for the web.
Clients easily understand themStyle tiles serve as a flexible starting point that helps us easily communicate the essence of a visual brand for the web.
We are working on an exciting project for a company in the investment business. Stay tuned!
we have a lot of fun during this phase.We are working on an exciting project for a company in the investment business. Stay tuned!
We design and build digital products people enjoy using...
Hey! Recently we were working on a project for ..We design and build digital products people enjoy using...
We are a Creative Digital Agency based in Buenos Aires, Argentina. We take pride in designing and building...
A new project is an opportunity to create something unique.We are a Creative Digital Agency based in Buenos Aires, Argentina. We take pride in designing and building...
As an interdisciplinary agile team, our production process is flexible, collaborative, and adapts to each client’s needs
We look forward to working with you on your next projectAs an interdisciplinary agile team, our production process is flexible, collaborative, and adapts to each client’s needs
We are working on the UX/UI design for a large hotel owners and hospitality management company.
Style Tiles are always a good option to show work in progress!We are working on the UX/UI design for a large hotel owners and hospitality management company.
More shots with final designs coming soon.
You can check the attachment for a full view..More shots with final designs coming soon.
we streamline the process without having to make multiple mockups.
This is a proposal to add value to a crowdfunding listing pagewe streamline the process without having to make multiple mockups.
Style tiles serve as a flexible starting point that helps us easily communicate the essence of a visual brand for the web.
Clients easily understand themStyle tiles serve as a flexible starting point that helps us easily communicate the essence of a visual brand for the web.
We are working on an exciting project for a company in the investment business. Stay tuned!
we have a lot of fun during this phase.We are working on an exciting project for a company in the investment business. Stay tuned!
We design and build digital products people enjoy using...
Hey! Recently we were working on a project for ..We design and build digital products people enjoy using...
We are a Creative Digital Agency based in Buenos Aires, Argentina. We take pride in designing and building...
A new project is an opportunity to create something unique.We are a Creative Digital Agency based in Buenos Aires, Argentina. We take pride in designing and building...
As an interdisciplinary agile team, our production process is flexible, collaborative, and adapts to each client’s needs
We look forward to working with you on your next projectAs an interdisciplinary agile team, our production process is flexible, collaborative, and adapts to each client’s needs
We are working on the UX/UI design for a large hotel owners and hospitality management company.
Style Tiles are always a good option to show work in progress!We are working on the UX/UI design for a large hotel owners and hospitality management company.
피부과 전문의로서, 각 분야의 전문성을 존중하며 환자분께 가장 적합한 치료를 안내해드리고자 합니다.
피부과 전문의라고 해서 모든 피부 문제에 능할 수는 없습니다.
더 나은 치료가 가능한 분야라면, 환자분께 가장 좋은 선택을 솔직하게 안내해드리겠습니다.
하지만 제가 자신 있는 치료라면, 누구보다도 좋은 결과를 드릴 자신이 있습니다.
특히 눈밑지방과 다크서클 치료는 20년간 수만 건의 경험과 노하우를 바탕으로,
각자에게 꼭 맞는 최적의 결과를 드릴 수 있습니다.
서울에이치피부과는 앞으로도
정직하고 건강하게, 명예롭게 안전한 범위에서, 자연스러우면서도 드라마틱한 결과를 추구하겠습니다.
감사합니다.
피부과 전문의 김형수 드림
서울에이치피부과의원 대표자 : 김형수
사업자등록번호 : 354-11-00937
서울특별시 강남구 선릉로 669, 6층 (논현동, 상경빌딩)
고객상담전화 : 02-2135-3501
COPYRIGHT ⓒ SEOUL H DERMATOLOGY INC. ALL RIGHT RESERVED.
비급여진료안내 ㅣ 이용약관 ㅣ 개인정보취급방침
\